Voor abonnees Parasiet in rauwe vis onder de loep: Japanse data tonen voedselveiligheidsrisico
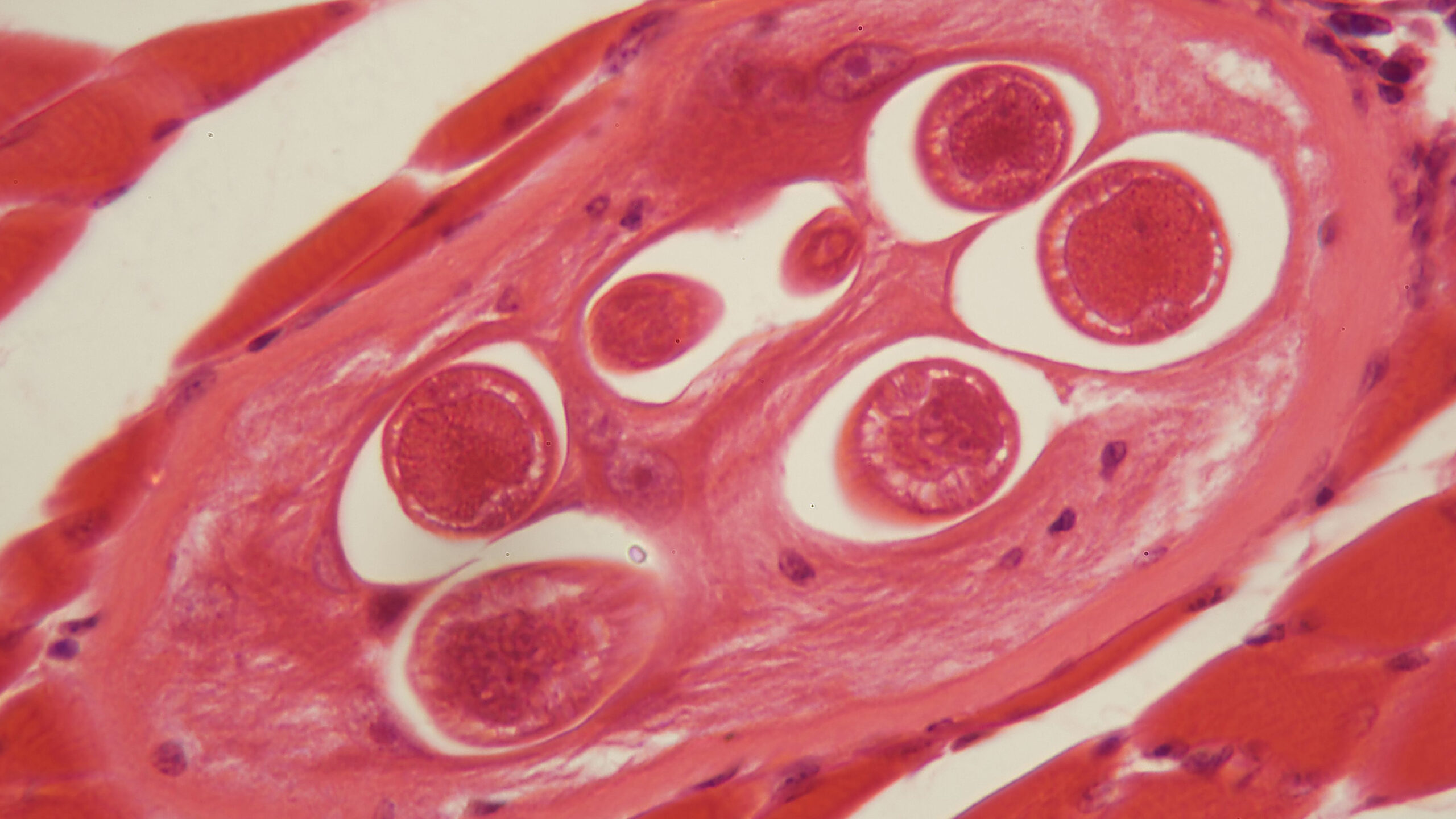
Een ogenschijnlijk onschuldige portie sashimi kan in zeldzame gevallen leiden tot acute voedselvergiftiging. Nieuw epidemiologisch onderzoek uit Japan werpt licht op een relatief onbekende boosdoener: de parasiet Kudoa septempunctata. Wat betekent dit voor de voedselveiligheid van rauwe vis?








